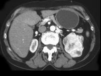
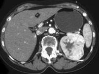
男,54岁,左侧腰痛伴间断性血尿2 月余,请结合CT图像,选择最可能诊断 ( )A、左侧嗜铬细胞瘤B、左侧肾盂癌C、左侧肾血管平滑肌脂肪瘤...

作者: rantiku 人气: - 评论: 0
问题 男,54岁,左侧腰痛伴间断性血尿2 月余,请结合CT图像,选择最可能诊断 ( )
选项 A、左侧嗜铬细胞瘤 B、左侧肾盂癌 C、左侧肾血管平滑肌脂肪瘤 D、左侧肾上腺腺癌 E、左侧肾癌
答案 E
解析

猜你喜欢

发表评论
更多 网友评论0 条评论)
暂无评论

访问排行

Copyright © 2012-2014 恰考网 Inc. 保留所有权利。 Powered by tikuer.com

页面耗时0.0389秒, 内存占用1.03 MB, Cache:redis,访问数据库20次