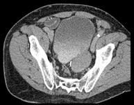
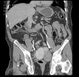
男,68岁,请根据所示图像,选择最可能诊断 ( )A、膀胱癌B、膀胱憩室C、先天性巨输尿管D、膀胱假性憩室E、输尿管囊肿

作者: rantiku 人气: - 评论: 0
问题 男,68岁,请根据所示图像,选择最可能诊断 ( )
选项 A、膀胱癌 B、膀胱憩室 C、先天性巨输尿管 D、膀胱假性憩室 E、输尿管囊肿
答案 B
解析

猜你喜欢

发表评论
更多 网友评论0 条评论)
暂无评论

访问排行

Copyright © 2012-2014 恰考网 Inc. 保留所有权利。 Powered by tikuer.com

页面耗时0.0421秒, 内存占用1.03 MB, Cache:redis,访问数据库19次