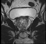
男性,66岁,排尿困难多年,现感会阴部疼痛3个多月,指肛检查触及前列腺表面不规则,行MRI检查,如图所示,你认为最可能的诊断是 ( )A、前列...

作者: rantiku 人气: - 评论: 0
问题 男性,66岁,排尿困难多年,现感会阴部疼痛3个多月,指肛检查触及前列腺表面不规则,行MRI检查,如图所示,你认为最可能的诊断是 ( )
选项 A、前列腺钙化 B、前列腺出血 C、正常前列腺 D、前列腺癌 E、前列腺增生
答案 D
解析

猜你喜欢

发表评论
更多 网友评论0 条评论)
暂无评论

访问排行

Copyright © 2012-2014 恰考网 Inc. 保留所有权利。 Powered by tikuer.com

页面耗时0.0372秒, 内存占用1.03 MB, Cache:redis,访问数据库18次