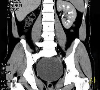
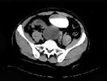
男,34岁,右下腹持续性隐痛半月,排尿时加重入院,CT检查如图所示,下列说法错误的是 ( )A、该囊性病变考虑来源于精囊B、此囊性病变...

作者: rantiku 人气: - 评论: 0
问题 男,34岁,右下腹持续性隐痛半月,排尿时加重入院,CT检查如图所示,下列说法错误的是 ( )
选项 A、该囊性病变考虑来源于精囊 B、此囊性病变为右精囊腺囊肿 C、膀胱右后下方囊性病变 D、膀胱向下,向后移位 E、右肾缺如
答案 D
解析

猜你喜欢

发表评论
更多 网友评论0 条评论)
暂无评论

访问排行

Copyright © 2012-2014 恰考网 Inc. 保留所有权利。 Powered by tikuer.com

页面耗时0.0360秒, 内存占用1.03 MB, Cache:redis,访问数据库19次