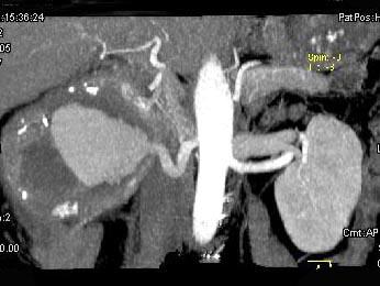
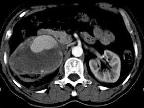
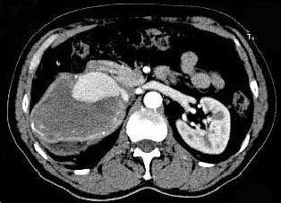
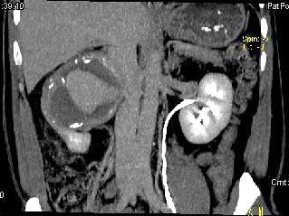
男,48岁,反复腰酸、腰痛伴镜下血尿2年,加重3天,无尿频、尿急、尿痛,无低热、盗汗、咳嗽,右肾区叩击痛,CT检查如图所示,应诊断为 ( ) ...

作者: rantiku 人气: - 评论: 0
问题 男,48岁,反复腰酸、腰痛伴镜下血尿2年,加重3天,无尿频、尿急、尿痛,无低热、盗汗、咳嗽,右肾区叩击痛,CT检查如图所示,应诊断为 ( )
选项 A、右肾错构瘤 B、右肾盂癌 C、右肾癌 D、急性右肾内血肿 E、右肾动脉瘤
答案 E
解析

猜你喜欢

发表评论
更多 网友评论0 条评论)
暂无评论

访问排行

Copyright © 2012-2014 恰考网 Inc. 保留所有权利。 Powered by tikuer.com

页面耗时0.0440秒, 内存占用1.03 MB, Cache:redis,访问数据库20次