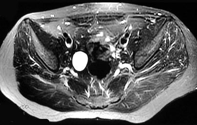
女,31岁,右侧腰部胀痛不适,MRI检查如图所示,下列说法正确的是 ( )A、左肾输尿管未见异常B、考虑为右侧输尿管囊肿C、右侧输...

作者: rantiku 人气: - 评论: 0
问题 女,31岁,右侧腰部胀痛不适,MRI检查如图所示,下列说法正确的是 ( )
选项 A、左肾输尿管未见异常 B、考虑为右侧输尿管囊肿 C、右侧输尿管粗细不均并迂曲扩张 D、右侧输尿管下段呈囊样扩张 E、右肾重度积水
答案 ABCDE
解析

猜你喜欢

发表评论
更多 网友评论0 条评论)
暂无评论

访问排行

Copyright © 2012-2014 恰考网 Inc. 保留所有权利。 Powered by tikuer.com

页面耗时0.0444秒, 内存占用1.03 MB, Cache:redis,访问数据库20次