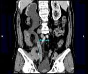
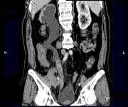
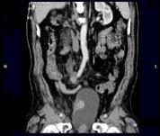
男,73岁,无痛性全程血尿2个月余,CT检查如图所示,下列说法正确的是 ( )A、考虑为右侧输尿管中下段癌合并膀胱癌B、考虑为右侧输尿...

作者: rantiku 人气: - 评论: 0
问题 男,73岁,无痛性全程血尿2个月余,CT检查如图所示,下列说法正确的是 ( )
选项 A、考虑为右侧输尿管中下段癌合并膀胱癌 B、考虑为右侧输尿管及膀胱结核 C、膀胱内可见宽基底的软组织肿块影 D、右肾及输尿管上段扩张积水 E、右输尿管中下段可见沿输尿管走行的长约10.6cm,不规则的软组织肿块影
答案 ACDE
解析

猜你喜欢

发表评论
更多 网友评论0 条评论)
暂无评论

访问排行

Copyright © 2012-2014 恰考网 Inc. 保留所有权利。 Powered by tikuer.com

页面耗时0.0395秒, 内存占用1.03 MB, Cache:redis,访问数据库20次