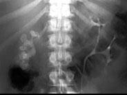
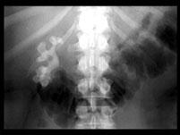
女,39岁,腹痛,腹部平片+IVP如图所示,下列说法正确的是 ( )A、右肾集合系统内高密度影考虑为右肾结石B、右肾集合系统内高密度影考虑为右...

作者: rantiku 人气: - 评论: 0
问题 女,39岁,腹痛,腹部平片+IVP如图所示,下列说法正确的是 ( )
选项 A、右肾集合系统内高密度影考虑为右肾结石 B、右肾集合系统内高密度影考虑为右肾结核钙化 C、右输尿管未见造影剂 D、左肾可见重复的肾收集系统 E、右肾集合系统内可见大的鹿角状高密度影
答案 ACDE
解析

猜你喜欢

发表评论
更多 网友评论0 条评论)
暂无评论

访问排行

Copyright © 2012-2014 恰考网 Inc. 保留所有权利。 Powered by tikuer.com

页面耗时0.0361秒, 内存占用1.03 MB, Cache:redis,访问数据库14次