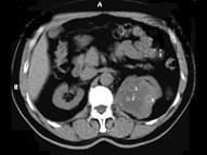
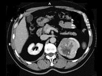
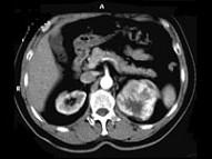
男,65岁,左侧腰背部胀痛伴无痛性全程血尿3个月余,CT平扫及增强检查如图所示,下列说法正确的是 ( )A、考虑为左侧肾癌B、考虑为左侧肾...

作者: rantiku 人气: - 评论: 0
问题 男,65岁,左侧腰背部胀痛伴无痛性全程血尿3个月余,CT平扫及增强检查如图所示,下列说法正确的是 ( )
选项 A、考虑为左侧肾癌 B、考虑为左侧肾错构瘤 C、增强扫描肾皮质期可见肿块明显强化,其内亦有无强化区 D、增强扫描肾实质期可见肿块强化迅速下降,但密度比平扫时仍要高 E、平扫时见左肾上极有一软组织肿块影,其边界较清楚
答案 ACDE
解析

猜你喜欢

发表评论
更多 网友评论0 条评论)
暂无评论

访问排行

Copyright © 2012-2014 恰考网 Inc. 保留所有权利。 Powered by tikuer.com

页面耗时0.0663秒, 内存占用1.03 MB, Cache:redis,访问数据库14次