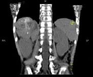
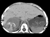
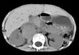
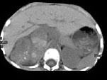
男,5 岁,消瘦、贫血、纳差和腹部包块3个月,CT检查如图,下列说法正确的是 ( )A、该病灶来源于右肾上腺,考虑为神经母细胞瘤B、该...

作者: rantiku 人气: - 评论: 0
问题 男,5 岁,消瘦、贫血、纳差和腹部包块3个月,CT检查如图,下列说法正确的是 ( )
选项 A、该病灶来源于右肾上腺,考虑为神经母细胞瘤 B、该病灶来源于右肾,考虑为肾胚胎瘤 C、肿块密度不均匀,可见片状的较高密度,考虑为出血,也可见点状的钙化影 D、该病灶来源于肝脏,考虑为肝母细胞瘤 E、右侧腹腔内可见一巨大软组织肿块影,其边界欠清楚
答案 ACE
解析

猜你喜欢

发表评论
更多 网友评论0 条评论)
暂无评论

访问排行

Copyright © 2012-2014 恰考网 Inc. 保留所有权利。 Powered by tikuer.com

页面耗时0.0521秒, 内存占用1.03 MB, Cache:redis,访问数据库15次