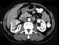
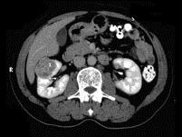
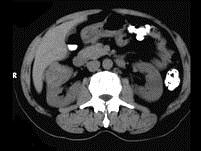
男,56岁,无痛性全程血尿1个月,CT平扫及增强检查如图,下列说法正确的是 ( )A、右肾静脉及下腔静脉内未见充盈缺损影B、考虑为右肾上极...

作者: rantiku 人气: - 评论: 0
问题 男,56岁,无痛性全程血尿1个月,CT平扫及增强检查如图,下列说法正确的是 ( )
选项 A、右肾静脉及下腔静脉内未见充盈缺损影 B、考虑为右肾上极的肾癌 C、增强扫描皮质期,病灶强化明显,但仍低于肾皮质的强化 D、增强扫描实质期,该灶强化迅速减退,可清楚的分辨其轮廓 E、在右肾上极,肾脏局部隆起,平扫时其密度与肾相近,不易分辨其轮廓
答案 ABCDE
解析

猜你喜欢

发表评论
更多 网友评论0 条评论)
暂无评论

访问排行

Copyright © 2012-2014 恰考网 Inc. 保留所有权利。 Powered by tikuer.com

页面耗时0.0682秒, 内存占用1.03 MB, Cache:redis,访问数据库19次