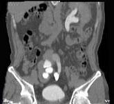
男,65岁,反复发作的下腹部疼痛向会阴部放射伴血尿1 年余,CT如图所示,下列说法正确的是 ( )A、左侧输尿管扩张B、考虑为先天性异...

作者: rantiku 人气: - 评论: 0
问题 男,65岁,反复发作的下腹部疼痛向会阴部放射伴血尿1 年余,CT如图所示,下列说法正确的是 ( )
选项 A、左侧输尿管扩张 B、考虑为先天性异位肾合并对侧输尿管下端结石 C、右肾窝内未见肾影,于盆腔入口处L~S水平见异位肾影 D、左侧输尿管在膀胱入口处可见一高密度结石影 E、左肾位置形态无异常
答案 ABCDE
解析

猜你喜欢

发表评论
更多 网友评论0 条评论)
暂无评论

访问排行

Copyright © 2012-2014 恰考网 Inc. 保留所有权利。 Powered by tikuer.com

页面耗时0.0438秒, 内存占用1.03 MB, Cache:redis,访问数据库18次