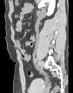
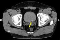
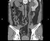
男,29岁,反复发作血尿1年余,CT如图所示,下列说法正确的是 ( )A、左输尿管结石B、膀胱结石C、左侧输尿管扩张D、左侧输尿管...

作者: rantiku 人气: - 评论: 0
问题 男,29岁,反复发作血尿1年余,CT如图所示,下列说法正确的是 ( )
选项 A、左输尿管结石 B、膀胱结石 C、左侧输尿管扩张 D、左侧输尿管末端,膀胱入口处可见高密度影 E、左侧肾盂扩张积水
答案 ACDE
解析

猜你喜欢

发表评论
更多 网友评论0 条评论)
暂无评论

访问排行

Copyright © 2012-2014 恰考网 Inc. 保留所有权利。 Powered by tikuer.com

页面耗时0.0348秒, 内存占用1.03 MB, Cache:redis,访问数据库18次