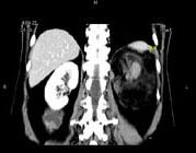
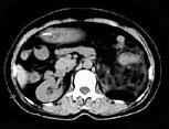
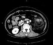
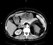
女,64岁,左侧腰部胀痛,行CT扫描,下列说法正确的是 ( )A、考虑为左侧肾上腺来源的髓样脂肪瘤B、考虑为腹膜后来源的脂肪肉瘤C...

作者: rantiku 人气: - 评论: 0
问题 女,64岁,左侧腰部胀痛,行CT扫描,下列说法正确的是 ( )
选项 A、考虑为左侧肾上腺来源的髓样脂肪瘤 B、考虑为腹膜后来源的脂肪肉瘤 C、该病灶密度不均匀,其内可见脂肪密度影,且呈不均匀强化 D、考虑为左肾来源的血管平滑肌脂肪瘤 E、左肾区可见一巨大的占位性病灶,境界较清楚,胰腺尾部受压向前推移
答案 CDE
解析

猜你喜欢

发表评论
更多 网友评论0 条评论)
暂无评论
错误啦!

错误信息

  • 消息: [程序异常] : MISCONF Redis is configured to save RDB snapshots, but it's currently unable to persist to disk. Commands that may modify the data set are disabled, because this instance is configured to report errors during writes if RDB snapshotting fails (stop-writes-on-bgsave-error option). Please check the Redis logs for details about the RDB error.
  • 文件: /twcms/kongphp/cache/cache_redis.class.php
  • 位置: 第 85 行
    <?php echo 'KongPHP, Road to Jane.'; ?>