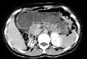
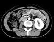
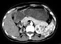
女,35岁,右侧腰部不适,CT增强扫描如图所示,下列说法正确的是 ( )A、右肾完全无功能B、考虑为右肾肾自截C、左肾代偿性肥大 ...

作者: rantiku 人气: - 评论: 0
问题 女,35岁,右侧腰部不适,CT增强扫描如图所示,下列说法正确的是 ( )
选项 A、右肾完全无功能 B、考虑为右肾肾自截 C、左肾代偿性肥大 D、考虑为右小肾畸形 E、右肾轮廓明显小于左侧,边缘光滑规则
答案 CDE
解析

猜你喜欢

发表评论
更多 网友评论0 条评论)
暂无评论

访问排行

Copyright © 2012-2014 恰考网 Inc. 保留所有权利。 Powered by tikuer.com

页面耗时0.0415秒, 内存占用1.03 MB, Cache:redis,访问数据库20次