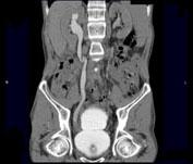
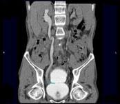
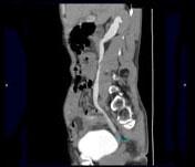
男,53岁,无痛性血尿2个月余,CT扫描如图示,下列说法正确的是 ( )A、考虑为输尿管移行细胞癌B、考虑为输尿管内血块C、软组织...

作者: rantiku 人气: - 评论: 0
问题 男,53岁,无痛性血尿2个月余,CT扫描如图示,下列说法正确的是 ( )
选项 A、考虑为输尿管移行细胞癌 B、考虑为输尿管内血块 C、软组织肿块边缘毛糙不平 D、其上方的输尿管扩张 E、右侧输尿管下段可见沿输尿管走行的软组织肿块影
答案 ACDE
解析

猜你喜欢

发表评论
更多 网友评论0 条评论)
暂无评论

访问排行

Copyright © 2012-2014 恰考网 Inc. 保留所有权利。 Powered by tikuer.com

页面耗时0.0696秒, 内存占用1.03 MB, Cache:redis,访问数据库13次