女,57岁,右腰部胀痛6个月余,触及右侧腹部包块2个月,CT平扫及增强如图所示,下列说法正确的是 ( )A、考虑肿块来源于右肾,是巨大的肾...

作者: rantiku 人气: - 评论: 0
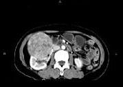
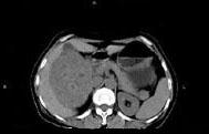
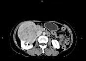
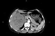
问题 女,57岁,右腰部胀痛6个月余,触及右侧腹部包块2个月,CT平扫及增强如图所示,下列说法正确的是 ( )
选项 A、考虑肿块来源于右肾,是巨大的肾癌,并挤压推移右肝,与其分界欠清 B、考虑肿块来源于右肾,是肾血管平滑肌脂肪瘤,并挤压推移右肝,与其分界欠清 C、增强扫描肿块强化明显,其内可见无强化的低密度坏死灶 D、考虑肿块来源于肝脏,是原发性肝癌,并挤压推移右肾 E、平扫时可见右侧腹部巨大的软组织肿块影,其内可见小片状的低密度影
答案 ACE
解析

猜你喜欢

发表评论
更多 网友评论0 条评论)
暂无评论

访问排行

Copyright © 2012-2014 恰考网 Inc. 保留所有权利。 Powered by tikuer.com

页面耗时0.0376秒, 内存占用1.03 MB, Cache:redis,访问数据库17次