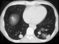
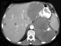
女,38岁,低热乏力并消瘦2个月余,CT如图所示,下列说法正确的是 ( )A、肺内多发小结节病灶,考虑为肺转移瘤B、肺内多发小结节病灶,考虑为...

作者: rantiku 人气: - 评论: 0
问题 女,38岁,低热乏力并消瘦2个月余,CT如图所示,下列说法正确的是 ( )
选项 A、肺内多发小结节病灶,考虑为肺转移瘤 B、肺内多发小结节病灶,考虑为肺结核 C、左侧肾上腺区巨大的占位性病灶考虑为嗜铬细胞瘤 D、左侧肾上腺区巨大的占位性病灶考虑为肾上腺腺瘤 E、左侧肾上腺区巨大的占位性病灶考虑为肾上腺癌
答案 AE
解析

猜你喜欢

发表评论
更多 网友评论0 条评论)
暂无评论

访问排行

Copyright © 2012-2014 恰考网 Inc. 保留所有权利。 Powered by tikuer.com

页面耗时0.0381秒, 内存占用1.03 MB, Cache:redis,访问数据库18次