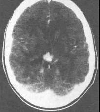
关于生殖细胞瘤(如图所示)以下描述中不正确的是()A.青少年多见,恶性程度高B.发生于松果体区者女性多,鞍上者男性多C.鞍上为多发部位D....

作者: rantiku 人气: - 评论: 0
问题 关于生殖细胞瘤(如图所示)以下描述中不正确的是()
选项 A.青少年多见,恶性程度高 B.发生于松果体区者女性多,鞍上者男性多 C.鞍上为多发部位 D.对放疗、化疗敏感 E.常通过脑脊液播散
答案 B
解析

猜你喜欢

发表评论
更多 网友评论0 条评论)
暂无评论
错误啦!

错误信息

  • 消息: [程序异常] : MISCONF Redis is configured to save RDB snapshots, but it's currently unable to persist to disk. Commands that may modify the data set are disabled, because this instance is configured to report errors during writes if RDB snapshotting fails (stop-writes-on-bgsave-error option). Please check the Redis logs for details about the RDB error.
  • 文件: /twcms/kongphp/cache/cache_redis.class.php
  • 位置: 第 85 行
    <?php echo 'KongPHP, Road to Jane.'; ?>