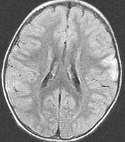
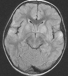
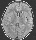
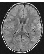
女,3岁,头痛、呕吐1周,请结合MRI图像,选择最可能的诊断是()A.脑膜炎B.硬膜下出血C.脑转移瘤D.脑梗死E.脑脓肿

作者: rantiku 人气: - 评论: 0
问题 女,3岁,头痛、呕吐1周,请结合MRI图像,选择最可能的诊断是()
选项 A.脑膜炎 B.硬膜下出血 C.脑转移瘤 D.脑梗死 E.脑脓肿
答案 A
解析

猜你喜欢

发表评论
更多 网友评论0 条评论)
暂无评论

访问排行

Copyright © 2012-2014 恰考网 Inc. 保留所有权利。 Powered by tikuer.com

页面耗时0.0492秒, 内存占用1.03 MB, Cache:redis,访问数据库20次