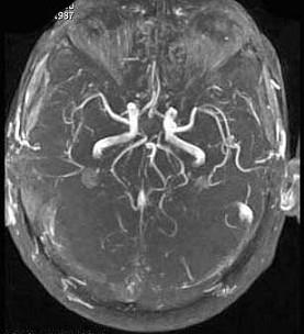
男,35岁,头痛半年加重1周,左侧肢体无力,影像检查如图所示,最可能的诊断为()A.脑血管畸形B.脑梗死C.脑出血D.脑炎E.脑静脉性血栓

作者: rantiku 人气: - 评论: 0
问题 男,35岁,头痛半年加重1周,左侧肢体无力,影像检查如图所示,最可能的诊断为()
选项 A.脑血管畸形 B.脑梗死 C.脑出血 D.脑炎 E.脑静脉性血栓
答案 E
解析

猜你喜欢

发表评论
更多 网友评论0 条评论)
暂无评论

访问排行

Copyright © 2012-2014 恰考网 Inc. 保留所有权利。 Powered by tikuer.com

页面耗时0.0504秒, 内存占用1.03 MB, Cache:redis,访问数据库20次