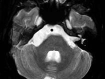
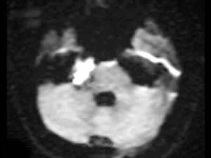
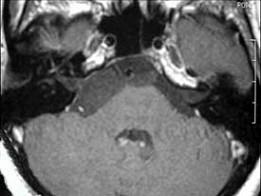
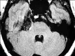
男,42岁,右侧听力下降,MRI检查如图,最可能的诊断为()A.表皮样囊肿B.听神经瘤C.三叉神经瘤D.脑膜瘤E.脑梗死

作者: rantiku 人气: - 评论: 0
问题 男,42岁,右侧听力下降,MRI检查如图,最可能的诊断为()
选项 A.表皮样囊肿 B.听神经瘤 C.三叉神经瘤 D.脑膜瘤 E.脑梗死
答案 A
解析

猜你喜欢

发表评论
更多 网友评论0 条评论)
暂无评论

访问排行

Copyright © 2012-2014 恰考网 Inc. 保留所有权利。 Powered by tikuer.com

页面耗时0.0501秒, 内存占用1.03 MB, Cache:redis,访问数据库20次