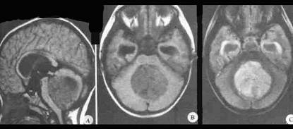
关于髓母细胞瘤(如图所示)哪项正确()A.来源于胚胎残余组织B.成人多见,发病高峰在20岁左右C.发病率无性别差异D.无播散种植倾向E...

作者: rantiku 人气: - 评论: 0
问题 关于髓母细胞瘤(如图所示)哪项正确()
选项 A.来源于胚胎残余组织 B.成人多见,发病高峰在20岁左右 C.发病率无性别差异 D.无播散种植倾向 E.病程较长
答案 A
解析

猜你喜欢

发表评论
更多 网友评论0 条评论)
暂无评论

访问排行

Copyright © 2012-2014 恰考网 Inc. 保留所有权利。 Powered by tikuer.com

页面耗时0.0430秒, 内存占用1.03 MB, Cache:redis,访问数据库19次