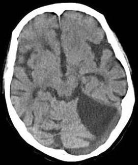
头颅MRI?TWI出现如图所示脑梗死,该病灶是下列哪两条血管供血区之间边缘带的局部缺血()A.大脑前动脉和大脑后动脉B.大脑中动脉的深穿支和大脑中...

作者: rantiku 人气: - 评论: 0
问题 头颅MRI?TWI出现如图所示脑梗死,该病灶是下列哪两条血管供血区之间边缘带的局部缺血()
选项 A.大脑前动脉和大脑后动脉 B.大脑中动脉的深穿支和大脑中动脉的皮层支 C.大脑中动脉和大脑后动脉 D.大脑中动脉和大脑前动脉 E.大脑后动脉和小脑上动脉
答案 C
解析

猜你喜欢

发表评论
更多 网友评论0 条评论)
暂无评论

访问排行

Copyright © 2012-2014 恰考网 Inc. 保留所有权利。 Powered by tikuer.com

页面耗时0.0993秒, 内存占用1.03 MB, Cache:redis,访问数据库20次