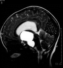
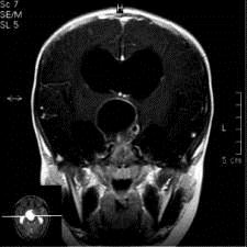
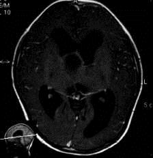
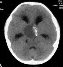
病历摘要:??患者女性,6岁,半年来感觉视力模糊,近10天出现反复头痛,间有恶心呕吐,精神转差,查体:神志清楚,身高90cm,体重25Kg,血压90/55...

作者: rantiku 人气: - 评论: 0
问题 病历摘要:??患者女性,6岁,半年来感觉视力模糊,近10天出现反复头痛,间有恶心呕吐,精神转差,查体:神志清楚,身高90cm,体重25Kg,血压90/55mmHg,右眼视力4.6,左眼视力4.8,双侧视乳头水肿,颈软,伸舌居中,四肢肌张力正常,肌力5级,双侧Babinski征(-)。 患者具有下列那些表现,可以诊断抗利尿激素分泌不当综合征?
选项 A.血钠>150mmol/l B.血钠<135mmol/l C.血浆渗透压<280mmol/l D.血浆渗透压>310mmol/l E.尿钠>20mmol/l F.尿钠<20mmol/l G.存在脱水体征,体重减轻 H.无脱水体征,体重增加 I.水出入量不平衡,出量小于入量
答案 BCEHI
解析 BCEHI

猜你喜欢

发表评论
更多 网友评论0 条评论)
暂无评论
错误啦!

错误信息

  • 消息: [程序异常] : MISCONF Redis is configured to save RDB snapshots, but it's currently unable to persist to disk. Commands that may modify the data set are disabled, because this instance is configured to report errors during writes if RDB snapshotting fails (stop-writes-on-bgsave-error option). Please check the Redis logs for details about the RDB error.
  • 文件: /twcms/kongphp/cache/cache_redis.class.php
  • 位置: 第 85 行
    <?php echo 'KongPHP, Road to Jane.'; ?>