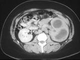
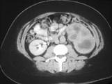
女,35岁,反复发作的尿路感染,请结合所示图像选择正确的说法 ( )A.左侧肾脏体积明显增大,轮廓欠清楚B.左侧肾皮质变薄,其内可见多个囊腔 ...

作者: rantiku 人气: - 评论: 0
问题 女,35岁,反复发作的尿路感染,请结合所示图像选择正确的说法 ( )
选项 A.左侧肾脏体积明显增大,轮廓欠清楚 B.左侧肾皮质变薄,其内可见多个囊腔 C.增强后囊腔周边强化 D.考虑为左侧肾癌 E.考虑为左侧黄色肉芽肿性肾盂肾炎
答案 ABCE
解析

猜你喜欢

发表评论
更多 网友评论0 条评论)
暂无评论

访问排行

Copyright © 2012-2014 恰考网 Inc. 保留所有权利。 Powered by tikuer.com

页面耗时0.0376秒, 内存占用1.03 MB, Cache:redis,访问数据库18次