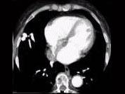
请看一组肺血管的CT增强图像,考虑最可能的诊断为 ( )A、肺动脉钙化B、肺动脉破裂C、肺动脉狭窄D、肺动脉扩张E、肺动静脉畸形

作者: rantiku 人气: - 评论: 0
问题 请看一组肺血管的CT增强图像,考虑最可能的诊断为 ( )
选项 A、肺动脉钙化 B、肺动脉破裂 C、肺动脉狭窄 D、肺动脉扩张 E、肺动静脉畸形
答案 E
解析

猜你喜欢

发表评论
更多 网友评论0 条评论)
暂无评论

访问排行

Copyright © 2012-2014 恰考网 Inc. 保留所有权利。 Powered by tikuer.com

页面耗时0.0382秒, 内存占用1.03 MB, Cache:redis,访问数据库20次