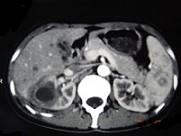
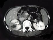
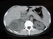
女,33岁,右胁腹痛7天,尿检可见大量的脓细胞,CT平扫+增强如图所示,下列说法正确的是 ( )A.右肾体积增大,其内可见类圆形低密度病灶...

作者: rantiku 人气: - 评论: 0
问题 女,33岁,右胁腹痛7天,尿检可见大量的脓细胞,CT平扫+增强如图所示,下列说法正确的是 ( )
选项 A.右肾体积增大,其内可见类圆形低密度病灶 B.增强扫描可见该病灶不均匀强化,其内有无强化的坏死灶 C.右肾病灶边界模糊不清 D.考虑为右肾囊肿合并感染 E.考虑为右肾脓肿
答案 ABCE
解析

猜你喜欢

发表评论
更多 网友评论0 条评论)
暂无评论

访问排行

Copyright © 2012-2014 恰考网 Inc. 保留所有权利。 Powered by tikuer.com

页面耗时0.0355秒, 内存占用1.03 MB, Cache:redis,访问数据库15次