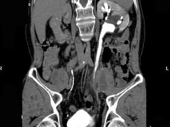
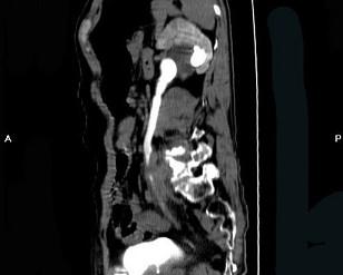
男,59岁,反复尿频尿急尿痛4年余,尿常规检查:红细胞(+),白细胞(++),CT扫描如图示,下列说法正确的是 ( )A.左侧输尿管中下段...

作者: rantiku 人气: - 评论: 0
问题 男,59岁,反复尿频尿急尿痛4年余,尿常规检查:红细胞(+),白细胞(++),CT扫描如图示,下列说法正确的是 ( )
选项 A.左侧输尿管中下段输尿管管壁增厚,管腔狭窄 B.左侧侧输尿管上段扩张 C.考虑为输尿管结核 D.考虑为慢性输尿管炎 E.考虑为输尿管移行细胞癌
答案 ABD
解析

猜你喜欢

发表评论
更多 网友评论0 条评论)
暂无评论

访问排行

Copyright © 2012-2014 恰考网 Inc. 保留所有权利。 Powered by tikuer.com

页面耗时0.0330秒, 内存占用1.03 MB, Cache:redis,访问数据库18次