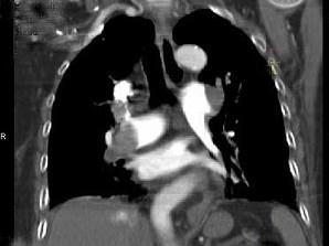
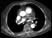
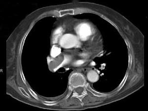
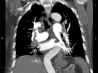
82岁,女性,突发右侧胸痛,呼吸急促,行急诊CT检查,如图所示,请选择最佳答案 ( )A、肺动脉栓塞B、肺动脉瘤C、肺门淋巴结肿大...

作者: rantiku 人气: - 评论: 0
问题 82岁,女性,突发右侧胸痛,呼吸急促,行急诊CT检查,如图所示,请选择最佳答案 ( )
选项 A、肺动脉栓塞 B、肺动脉瘤 C、肺门淋巴结肿大 D、肺动静脉瘘 E、中央型肺癌
答案 A
解析

猜你喜欢

发表评论
更多 网友评论0 条评论)
暂无评论

访问排行

Copyright © 2012-2014 恰考网 Inc. 保留所有权利。 Powered by tikuer.com

页面耗时0.0446秒, 内存占用1.03 MB, Cache:redis,访问数据库20次