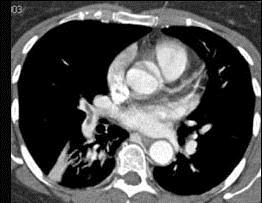
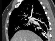
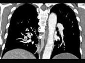
男,56岁,食管癌术后,胸痛,呼吸困难,结合CT图像,最可能的诊断是 ( )A、肺水肿B、肺不张C、肺栓塞D、支气管扩张E、食...

作者: rantiku 人气: - 评论: 0
问题 男,56岁,食管癌术后,胸痛,呼吸困难,结合CT图像,最可能的诊断是 ( )
选项 A、肺水肿 B、肺不张 C、肺栓塞 D、支气管扩张 E、食管癌肺转移
答案 C
解析

猜你喜欢

发表评论
更多 网友评论0 条评论)
暂无评论

访问排行

Copyright © 2012-2014 恰考网 Inc. 保留所有权利。 Powered by tikuer.com

页面耗时0.0601秒, 内存占用1.03 MB, Cache:redis,访问数据库14次