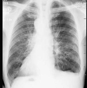
男,68岁,因左胸部外伤摄胸片,根据常规胸片所示,选择下述正确的答案 ( )A、右肺占位B、右侧肺不张C、纵隔疝D、右侧胸腔积液E、镜...

作者: rantiku 人气: - 评论: 0
问题 男,68岁,因左胸部外伤摄胸片,根据常规胸片所示,选择下述正确的答案 ( )
选项 A、右肺占位 B、右侧肺不张 C、纵隔疝 D、右侧胸腔积液 E、镜面右位心
答案 E
解析

猜你喜欢

发表评论
更多 网友评论0 条评论)
暂无评论
错误啦!

错误信息

  • 消息: [程序异常] : MISCONF Redis is configured to save RDB snapshots, but it's currently unable to persist to disk. Commands that may modify the data set are disabled, because this instance is configured to report errors during writes if RDB snapshotting fails (stop-writes-on-bgsave-error option). Please check the Redis logs for details about the RDB error.
  • 文件: /twcms/kongphp/cache/cache_redis.class.php
  • 位置: 第 85 行
    <?php echo 'KongPHP, Road to Jane.'; ?>