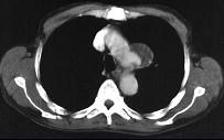
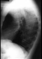
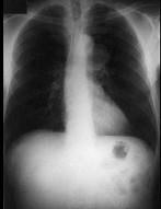
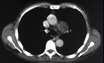
男性,53岁,2年前被踢伤胸部,最近感胸部不适,常规胸片检查,示纵隔内病变,加扫CT平扫及增强,结果如图所示 ( )A、球形病灶外围见半月...

作者: rantiku 人气: - 评论: 0
问题 男性,53岁,2年前被踢伤胸部,最近感胸部不适,常规胸片检查,示纵隔内病变,加扫CT平扫及增强,结果如图所示 ( )
选项 A、球形病灶外围见半月形低密度影,其内有斑片状高密度影,考虑为血栓形成 B、结合临床,考虑为主动脉假性动脉瘤(外伤性) C、CT增强扫描示主动脉弓层面左侧缘不规则,造影剂流入球形病灶内 D、结合临床,考虑为主动脉夹层 E、胸片示上纵隔见类圆形高密度影,以侧位片明显
答案 ABCE
解析

猜你喜欢

发表评论
更多 网友评论0 条评论)
暂无评论
错误啦!

错误信息

  • 消息: [程序异常] : MISCONF Redis is configured to save RDB snapshots, but it's currently unable to persist to disk. Commands that may modify the data set are disabled, because this instance is configured to report errors during writes if RDB snapshotting fails (stop-writes-on-bgsave-error option). Please check the Redis logs for details about the RDB error.
  • 文件: /twcms/kongphp/cache/cache_redis.class.php
  • 位置: 第 85 行
    <?php echo 'KongPHP, Road to Jane.'; ?>