中年男性,间断性腰背痛4个月,突发左下肢全肢水肿,小腿有张力性水泡,水肿累积会阴部,常规胸腹部CT扫描如图所示,你认为哪些征像及结论正确 ( ) ...

作者: rantiku 人气: - 评论: 0
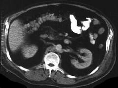
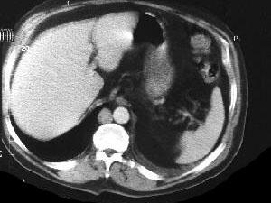
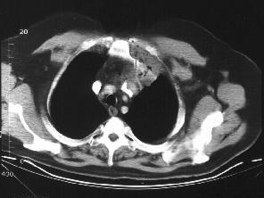
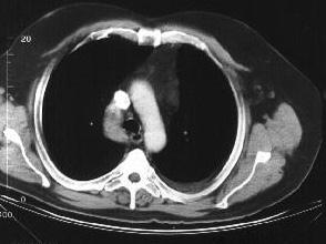
问题 中年男性,间断性腰背痛4个月,突发左下肢全肢水肿,小腿有张力性水泡,水肿累积会阴部,常规胸腹部CT扫描如图所示,你认为哪些征像及结论正确 ( )
选项 A、奇静脉变细 B、正常CT表现 C、下腔静脉变细 D、奇静脉增粗 E、下腔静脉缺如
答案 DE
解析

猜你喜欢

发表评论
更多 网友评论0 条评论)
暂无评论
错误啦!

错误信息

  • 消息: [程序异常] : MISCONF Redis is configured to save RDB snapshots, but it's currently unable to persist to disk. Commands that may modify the data set are disabled, because this instance is configured to report errors during writes if RDB snapshotting fails (stop-writes-on-bgsave-error option). Please check the Redis logs for details about the RDB error.
  • 文件: /twcms/kongphp/cache/cache_redis.class.php
  • 位置: 第 85 行
    <?php echo 'KongPHP, Road to Jane.'; ?>