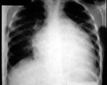
男,24岁,反复胸闷气短4年,近1周加重,端坐时即感胸闷,伴咳嗽、下肢水肿,肝脏肿大。超声心动图示心脏扩大,室壁变薄,EF值20%,二尖瓣、三尖瓣中度反流...

作者: rantiku 人气: - 评论: 0
问题 男,24岁,反复胸闷气短4年,近1周加重,端坐时即感胸闷,伴咳嗽、下肢水肿,肝脏肿大。超声心动图示心脏扩大,室壁变薄,EF值20%,二尖瓣、三尖瓣中度反流。胸片如图所示。 若经治疗,患者病情好转稳定,需小剂量开始加用 ( )
选项 A、地高辛 B、消心痛(异山梨酯) C、卡托普利 D、双氢克尿塞 E、倍他乐克(美托洛尔)
答案 E
解析

猜你喜欢

发表评论
更多 网友评论0 条评论)
暂无评论

访问排行

Copyright © 2012-2014 恰考网 Inc. 保留所有权利。 Powered by tikuer.com

页面耗时0.0387秒, 内存占用1.03 MB, Cache:redis,访问数据库18次