男,24岁,反复胸闷气短4年,近1周加重,端坐时即感胸闷,伴咳嗽、下肢水肿,肝脏肿大。超声心动图示心脏扩大,室壁变薄,EF值20%,二尖瓣、三尖瓣中度反流...

作者: rantiku 人气: - 评论: 0
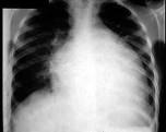
问题 男,24岁,反复胸闷气短4年,近1周加重,端坐时即感胸闷,伴咳嗽、下肢水肿,肝脏肿大。超声心动图示心脏扩大,室壁变薄,EF值20%,二尖瓣、三尖瓣中度反流。胸片如图所示。 若经治疗,患者病情未能好转,除下列哪项外,需要进行 ( )
选项 A、血常规查是否贫血 B、查看所用药物剂量剂型是否合适 C、加用速尿大量利尿 D、短期联合应用多巴胺与硝普钠 E、查电解质,纠正电解质紊乱
答案 D
解析

猜你喜欢

发表评论
更多 网友评论0 条评论)
暂无评论

访问排行

Copyright © 2012-2014 恰考网 Inc. 保留所有权利。 Powered by tikuer.com

页面耗时0.0487秒, 内存占用1.03 MB, Cache:redis,访问数据库13次