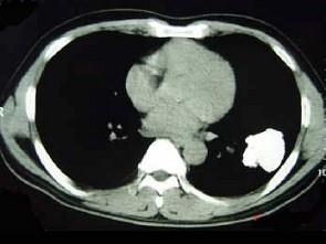
男,45岁,体检发现左下肺占位,CT检查如图,最可能的诊断为 ( )A、左下肺炎性假瘤B、左下肺感染C、左下肺周围型肺癌伴钙化D、左下...

作者: rantiku 人气: - 评论: 0
问题 男,45岁,体检发现左下肺占位,CT检查如图,最可能的诊断为 ( )
选项 A、左下肺炎性假瘤 B、左下肺感染 C、左下肺周围型肺癌伴钙化 D、左下肺错构瘤 E、左下肺结核球伴钙化
答案 D
解析

猜你喜欢

发表评论
更多 网友评论0 条评论)
暂无评论

访问排行

Copyright © 2012-2014 恰考网 Inc. 保留所有权利。 Powered by tikuer.com

页面耗时0.0317秒, 内存占用1.03 MB, Cache:redis,访问数据库19次