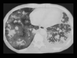
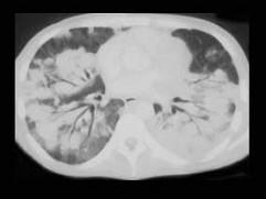
男,27岁,干咳,呼吸困难半月余,有艾滋病病史半年余,请结合CT检查,选出最可能的诊断 ( )A、矽肺B、Kaposi肉瘤C、弥漫型肺癌 ...

作者: rantiku 人气: - 评论: 0
问题 男,27岁,干咳,呼吸困难半月余,有艾滋病病史半年余,请结合CT检查,选出最可能的诊断 ( )
选项 A、矽肺 B、Kaposi肉瘤 C、弥漫型肺癌 D、间质性肺炎 E、粟粒型肺结核
答案 B
解析

猜你喜欢

发表评论
更多 网友评论0 条评论)
暂无评论

访问排行

Copyright © 2012-2014 恰考网 Inc. 保留所有权利。 Powered by tikuer.com

页面耗时0.0299秒, 内存占用1.03 MB, Cache:redis,访问数据库15次