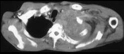
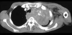
男,68岁,咳嗽,胸痛,呼吸困难伴四肢无力半月余,请结合影像学检查,选出最可能的诊断 ( )A、纵隔畸胎瘤B、恶性胸腺瘤C、肺结核D、...

作者: rantiku 人气: - 评论: 0
问题 男,68岁,咳嗽,胸痛,呼吸困难伴四肢无力半月余,请结合影像学检查,选出最可能的诊断 ( )
选项 A、纵隔畸胎瘤 B、恶性胸腺瘤 C、肺结核 D、淋巴瘤 E、肺癌
答案 B
解析

猜你喜欢

发表评论
更多 网友评论0 条评论)
暂无评论

访问排行

Copyright © 2012-2014 恰考网 Inc. 保留所有权利。 Powered by tikuer.com

页面耗时0.0371秒, 内存占用1.03 MB, Cache:redis,访问数据库20次