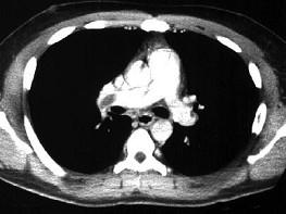
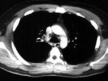
男,28岁,突发呼吸困难,结合影像图像,选择最可能的诊断 ( )A、右肺中央肺癌并右上肺不张,淋巴转移B、右上肺小叶性肺炎C、右上肺奇叶 ...

作者: rantiku 人气: - 评论: 0
问题 男,28岁,突发呼吸困难,结合影像图像,选择最可能的诊断 ( )
选项 A、右肺中央肺癌并右上肺不张,淋巴转移 B、右上肺小叶性肺炎 C、右上肺奇叶 D、右主肺动脉栓塞 E、右上肺大叶性肺炎
答案 D
解析

猜你喜欢

发表评论
更多 网友评论0 条评论)
暂无评论

访问排行

Copyright © 2012-2014 恰考网 Inc. 保留所有权利。 Powered by tikuer.com

页面耗时0.0451秒, 内存占用1.03 MB, Cache:redis,访问数据库19次