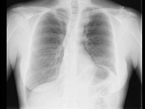
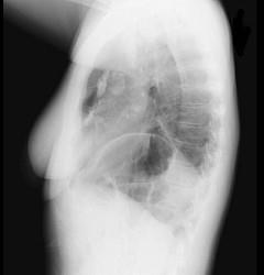
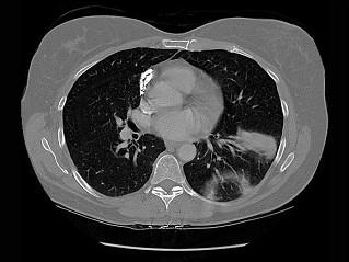
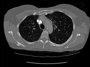
71岁,女,发现颈部淋巴结肿大,胸片和CT检查如图,请选出最可能的诊断 ( )A、肺癌B、神经源性肿瘤C、淋巴瘤D、淋巴结核 ...

作者: rantiku 人气: - 评论: 0
问题 71岁,女,发现颈部淋巴结肿大,胸片和CT检查如图,请选出最可能的诊断 ( )
选项 A、肺癌 B、神经源性肿瘤 C、淋巴瘤 D、淋巴结核 E、结节病
答案 C
解析

猜你喜欢

发表评论
更多 网友评论0 条评论)
暂无评论

访问排行

Copyright © 2012-2014 恰考网 Inc. 保留所有权利。 Powered by tikuer.com

页面耗时0.0345秒, 内存占用1.03 MB, Cache:redis,访问数据库19次