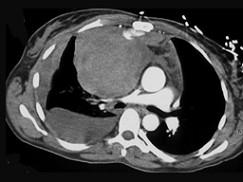
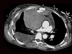
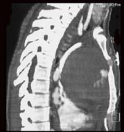
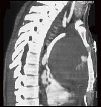
男,33岁,右胸部外伤,胸闷、气短,结合CT图像,最可能的诊断是 ( )A、淋巴管瘤B、淋巴瘤C、纵隔血肿D、畸胎瘤E、胸腺瘤

作者: rantiku 人气: - 评论: 0
问题 男,33岁,右胸部外伤,胸闷、气短,结合CT图像,最可能的诊断是 ( )
选项 A、淋巴管瘤 B、淋巴瘤 C、纵隔血肿 D、畸胎瘤 E、胸腺瘤
答案 C
解析

猜你喜欢

发表评论
更多 网友评论0 条评论)
暂无评论

访问排行

Copyright © 2012-2014 恰考网 Inc. 保留所有权利。 Powered by tikuer.com

页面耗时0.0344秒, 内存占用1.03 MB, Cache:redis,访问数据库18次