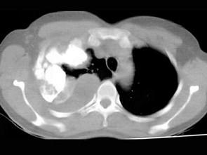
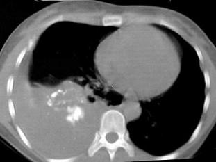
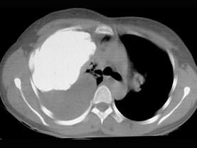
男,66岁,剧烈胸痛,请结合CT图像,选择最可能的诊断 ( )A、右侧肺不张B、右侧肺肺癌C、右肺癌侵犯胸膜D、右侧胸膜间皮瘤...

作者: rantiku 人气: - 评论: 0
问题 男,66岁,剧烈胸痛,请结合CT图像,选择最可能的诊断 ( )
选项 A、右侧肺不张 B、右侧肺肺癌 C、右肺癌侵犯胸膜 D、右侧胸膜间皮瘤 E、右侧胸腔积液胸膜钙化
答案 D
解析

猜你喜欢

发表评论
更多 网友评论0 条评论)
暂无评论

访问排行

Copyright © 2012-2014 恰考网 Inc. 保留所有权利。 Powered by tikuer.com

页面耗时0.0326秒, 内存占用1.03 MB, Cache:redis,访问数据库19次