男,68岁,呼吸困难,发绀,咯血1周,有40余年采矿史,请结合CT检查选择最可能的诊断 ( )A、肺脓肿B、支气管扩张C、矽肺D、肺癌...

作者: rantiku 人气: - 评论: 0
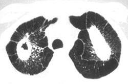
问题 男,68岁,呼吸困难,发绀,咯血1周,有40余年采矿史,请结合CT检查选择最可能的诊断 ( )
选项 A、肺脓肿 B、支气管扩张 C、矽肺 D、肺癌 E、肺结核
答案 C
解析

猜你喜欢

发表评论
更多 网友评论0 条评论)
暂无评论

访问排行

Copyright © 2012-2014 恰考网 Inc. 保留所有权利。 Powered by tikuer.com

页面耗时0.0424秒, 内存占用1.03 MB, Cache:redis,访问数据库20次