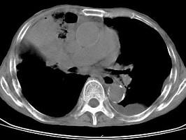
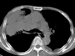
男,68岁,胸闷,咳痰,咯血二月余,胸部CT如图,最可能的诊断为 ( )A、右上肺肉瘤B、肺炎性假瘤C、右肺中央型肺癌D、右上肺炎...

作者: rantiku 人气: - 评论: 0
问题 男,68岁,胸闷,咳痰,咯血二月余,胸部CT如图,最可能的诊断为 ( )
选项 A、右上肺肉瘤 B、肺炎性假瘤 C、右肺中央型肺癌 D、右上肺炎 E、右上肺不张
答案 C
解析

猜你喜欢

发表评论
更多 网友评论0 条评论)
暂无评论

访问排行

Copyright © 2012-2014 恰考网 Inc. 保留所有权利。 Powered by tikuer.com

页面耗时0.0331秒, 内存占用1.03 MB, Cache:redis,访问数据库18次