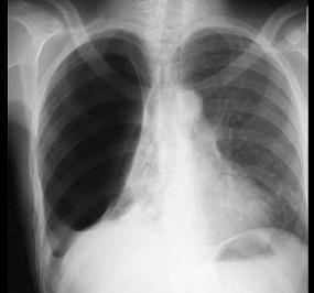
关于急性脓胸的症状、体征及X线表现如图,下列哪项是不正确的? ( )A、X线检查示肺组织受压,胸膜腔积液呈外高内低的弧形影B、X线检查示胸膜反应及...

作者: rantiku 人气: - 评论: 0
问题 关于急性脓胸的症状、体征及X线表现如图,下列哪项是不正确的? ( )
选项 A、X线检查示肺组织受压,胸膜腔积液呈外高内低的弧形影 B、X线检查示胸膜反应及肋膈窦消失 C、胸部患侧呈浊音,呼吸音减弱或消失 D、大量积液使患侧呈大片均匀阴影,胸膜腔横径变窄,纵隔向患侧移位 E、常在急性肺炎好转后,再出现高热、胸痛、气促、全身乏力等症状
答案 D
解析

猜你喜欢

发表评论
更多 网友评论0 条评论)
暂无评论

访问排行

Copyright © 2012-2014 恰考网 Inc. 保留所有权利。 Powered by tikuer.com

页面耗时0.0634秒, 内存占用1.03 MB, Cache:redis,访问数据库18次