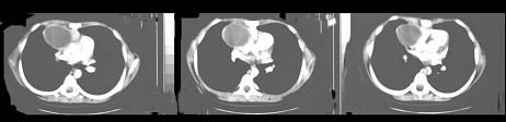
14岁,男,胸闷咳嗽一个月,曾咳出过毛发,CT检查如图,请选择最可能的诊断 ( )A、畸胎瘤B、食管囊肿C、胸内甲状腺肿D、胸腺囊...

作者: rantiku 人气: - 评论: 0
问题 14岁,男,胸闷咳嗽一个月,曾咳出过毛发,CT检查如图,请选择最可能的诊断 ( )
选项 A、畸胎瘤 B、食管囊肿 C、胸内甲状腺肿 D、胸腺囊肿 E、纵隔血肿
答案 A
解析

猜你喜欢

发表评论
更多 网友评论0 条评论)
暂无评论

访问排行

Copyright © 2012-2014 恰考网 Inc. 保留所有权利。 Powered by tikuer.com

页面耗时0.0343秒, 内存占用1.03 MB, Cache:redis,访问数据库19次