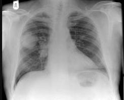
58岁,男,咳嗽、气促3个月,抽烟二十余年,请结合胸片图选择最可能的诊断 ( )A、错构瘤B、结节病C、胸膜间皮瘤D、肺结核E、肺癌
相关内容:气促,3个月,余年,胸片,可能,诊断,错构,结节,胸膜,间皮,肺结核,肺癌
猜你喜欢
- 分部分项工程量清单项目特征中,可不详细描述的内容是()。A:涉及结构要求的内容 B:对计量计价没有实质影响的内容 C:应由投标人根据当地材料和施工...
- 案例一(5): 第三次咨询:2016年3月9日 求助者:您好!上一次回去之后,我感觉舒服多了,情绪也好多了、您让我思考的 问题,我每晚都在想....
- 下列作品与评价对应不正确的是( )A.《桃花扇》——借离合之情,写兴亡之感
B.《石头记》——满纸荒唐言,一把辛酸泪
C.《儒林外史》——一部儒林,...
- 某女,48岁,平素易外感,昨日受凉后发热恶寒明显,头痛,鼻塞,身痛,体倦,咳嗽,舌质淡,苔薄白,脉浮无力。应选用的方剂是()A.银翘散加减
B.参苏饮加...
- 在受地形条件或已建建筑物限制的重要堤段,常采用()。A、坡式护岸 B、坝式护岸 C、墙式护岸 D、平顺护岸
- A.计划职能B.组织职能C.人员管理D.领导职能E.控制职能对组织内成员的个人行为及集体行为进行引导,保证组织目标的顺利实现
- 下列有关定金的说法中,正确的是( )。A.定金交付后,交付定金的一方可以按照合同的约定以丧失定金为代价而解除主合同
B.定金的数额应当为主合同标的的20...
- 关于尿毒症性脑病的发病机制,以下不正确的是A:脑神经细胞变性B:脑神经细胞水肿C:呼吸衰竭D:毒性物质蓄积E:代谢性酸中毒
- 治疗心肾不交,不寐用交泰丸,意在A.清心火、温肾阳B.清心火、温脾阳C.滋补肾阴D.温补心阳E.清心降火、引火归原
- 对于妊娠合并肺结核者产褥期注意事项哪项不恰当A.活动性肺结核患者产后不可哺乳B.活动性肺结核患者产后应与新生儿严格隔离C.产褥期应加强营养,延长休...