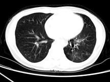
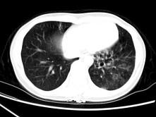
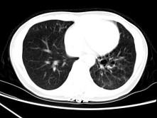
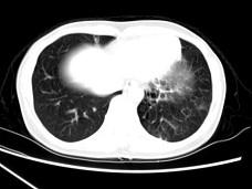
女,30岁,咳痰,咯血,请结合影像图像选择最可能的诊断为 ( )A、间质性肺炎B、肺结核C、支气管扩张并感染D、支气管囊肿...

作者: rantiku 人气: - 评论: 0
问题 女,30岁,咳痰,咯血,请结合影像图像选择最可能的诊断为 ( )
选项 A、间质性肺炎 B、肺结核 C、支气管扩张并感染 D、支气管囊肿 E、肺部感染
答案 C
解析

猜你喜欢

发表评论
更多 网友评论0 条评论)
暂无评论

访问排行

Copyright © 2012-2014 恰考网 Inc. 保留所有权利。 Powered by tikuer.com

页面耗时0.0399秒, 内存占用1.03 MB, Cache:redis,访问数据库18次