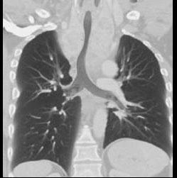
男,67岁,呼吸困难半年余,请结合影像学检查,选出最可能的诊断 ( )A、纵隔畸胎瘤B、胸腺瘤C、淋巴瘤D、间皮囊肿E、胸骨后甲状腺肿

作者: rantiku 人气: - 评论: 0
问题 男,67岁,呼吸困难半年余,请结合影像学检查,选出最可能的诊断 ( )
选项 A、纵隔畸胎瘤 B、胸腺瘤 C、淋巴瘤 D、间皮囊肿 E、胸骨后甲状腺肿
答案 E
解析

猜你喜欢

发表评论
更多 网友评论0 条评论)
暂无评论

访问排行

Copyright © 2012-2014 恰考网 Inc. 保留所有权利。 Powered by tikuer.com

页面耗时0.0687秒, 内存占用1.03 MB, Cache:redis,访问数据库15次